新着情報 NEWS
思いっきり、
笑おう。
癒しとおもてなしを大切に
エイジングケアを考えたトータルな治療を
新着情報 NEWS
症例集 CASE
当院の6つの特長 6 FEATURES
「おもてなし」と「エイジングケア」をテーマとしたトータルオーラルケア
従来の歯科医院のイメージとは違い、「おもてなし」の気持ちで患者さまをお迎えしています。お口全体の健康や美容をトータルで考え、いつまでも快適で美しく過ごせるようにエイジングケアを目指した治療を展開しています。
充実した最新設備の導入
安全かつ精密な治療を追求するためには、技術を磨くとともに最新の装置を使用することも不可欠です。
お口の中を詳しく調べられる歯科用CTをはじめ、患部を肉眼の数十倍の倍率で拡大して診られるマイクロスコープ、歯型を正確かつ短時間で取り込める口腔内スキャナーiTero5Dなど、さまざまな新しい設備を導入しています。
初診の方へ FIRST
友枝歯科・矯正歯科クリニック福岡天神では患者さまに「おもてなし」の気持ちをもって接しています。
従来の歯科医院とは違った爽やかな院内で、リラックスしてお過ごしいただけます。
歯の痛みや歯並びなどのお悩みだけでなく、口元の美容に関するご相談もお受けします。
矯正、ホワイトニングは無料のカウンセリングも実施していますので、どうぞお気軽にお越しください。
診療案内 TREATMENT
予防歯科
歯の健康をお守りするために行なうケアです。「プロフィラキシス」とよばれるアメリカ式の予防システムを採用し、虫歯や歯周病にかからないためのケアを集中的に行なっています。
定期的に予防歯科を受けていただくと、虫歯にかからない健康的な歯を維持できます。
ホワイトニング
クリーニングでは磨き落とせない歯の着色を、薬剤を使って漂白します。
使用する薬剤にもこだわり、漂白効果に優れているとともに患者さまが痛みなどを感じにくいものを採用しています。ムラなくきれいに仕上げ、輝くような白い歯をご提供します。
審美歯科
歯の痛みを治したり噛む機能を取り戻したりするだけでなく、見た目の美しさを回復することも大切な治療だと考えています。
セラミックという透明感のある白い素材を使った補綴物を作り、治療した痕をきれいに仕上げます。銀歯にお悩みの方にもおすすめです。
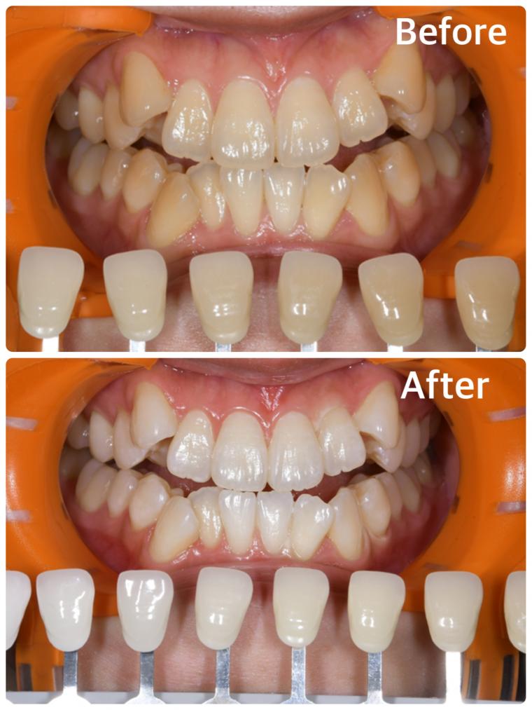
矯正歯科
悪い歯並びは見た目が気になるだけでなく、噛み合わせも悪くなって全身の健康にも影響を及ぼします。
透明なマウスピース装置もご用意しており、治療中の口元も気になりません。インビザラインプラチナドクターの医師が治療を担当し、美しく健康的な歯並びに改善します。
インプラント・再生医療
歯が抜けてしまった場合の治療方法のひとつがインプラントです。人工の歯根で固定するのでしっかり噛めるうえ、見た目も自然に仕上がります。
当院では骨の移植も含めた難症例や再生医療にも対応します。ほかの歯科医院では治療できないと言われた方も、ご相談にいらっしゃってください。
マイクロスコープによる
精密歯科診療
患部を数十倍の拡大視野でチェックできる、マイクロスコープを導入しています。より正確な治療が可能になり、歯を削る範囲を最小限で抑えられるなどのさまざまなメリットがあります。
虫歯により神経を抜く場合にもマイクロスコープを使用し、再発しないよう歯の内部をきれいにします。
一般歯科
歯の痛みや歯肉の出血といった症状を抑える、虫歯や歯周病の治療になります。なるべく健康な組織を傷つけず、なおかつ再発を防ぐために、最新の設備を使い治療しています。
また、治療に不安がある方には、リラックスして治療を受けられる静脈内鎮静法を検討します。
美容点滴・医療用サプリメント
虫歯や歯周病、矯正歯科といった治療以外にも、親知らずの抜歯といった口腔外科にも対応しています。
さらに、口臭外来やサプリメントを使った栄養指導、ビタミン不足を補う点滴療法など、患者さまの健康をトータルでサポートするためのさまざまな治療を導入しています。
咬筋ボツリヌス治療、ヒアルロン酸注入
⻭ぎしり、⾷いしばりが強かった為、咬筋に咬筋ボツリヌス注射を注⼊。
咬筋の緊張が取れ、症状が緩和します。⾷いしばりによる肩こり、頭痛なども改善します。
ヒアルロン酸注入では、⻭の治療とともに、⼝元、お顔のバランスを考えながらヒアルロン酸注射を⾏い、シワの溝や凹んでいる部位を改善します。
ヒアルロン酸注入
芸能人・モデル歯科
口元のコンプレックスは、すべて当院の審美歯科にご相談ください。福岡の芸能人・モデルが多く通う当院では、一般の方でもお一人おひとり合わせた治療方法で、芸能人のような綺麗な歯並びや輝く白さを実現できます。
芸能人・モデル歯科ごあいさつ GREETING
ご挨拶
皆さま初めまして。数ある歯科クリニックのなかから、私たちのHPをご覧いただいているご縁に感謝いたします。
私は歯科医師の家系の3代目に生まれ、人のお役に立てる仕事であると考え、父や祖父と同じ福岡県立九州歯科大学を卒業いたしました。
勤務医として働くなかで、多くの方が歯医者さんを苦手とし、通えていないことを実感いたしました。また健康長寿と美を叶えるエイジングケア医学に出会い、追求し、皆さまにお伝えすることに決めました。そこで一念発起し“おもてなし”と“エイジングケア”を理念とし、患者さまはもちろん、社会にも貢献するべく新しいクリニックを開業いたしました。
その10周年の節目に、私たちの想いの集大成である3院目を開院いたします。
私たちは、私たちが受けたい、理想的な医療を提供する─。そのために最新の医療を学び、研鑽を続ける─。
一生健康で美しく過ごしたい方、ぜひ一度ご相談ください。スタッフ一同お待ちしております。
診療カレンダー CALENDAR
矯正治療ご希望の方へ
・機能性や審美性を重視するため自費(保険適用外)での診療となり、保険診療よりも高額となります。
・最初は矯正装置による不快感、痛みなどがあります。数日から1~2週間で慣れることが多いです。
・治療期間は症例により異なりますが、成人矯正や永久歯がすべて生えそろっている場合は、一般的に1年半~3年を要します。
・歯の動き方には個人差があるため、治療期間が予想より長期化することがあります。
・装置や顎間ゴムの扱い方、定期的な通院など、矯正治療では患者様のご協力が大変重要であり、それらが治療結果や治療内容に影響します。
・治療中は装置がついているため、歯が磨きにくくなります。虫歯や歯周病のリスクが高まるので、丁寧な歯磨きや定期メンテナンスの受診が大切です。また、歯が動くことで見えなかった虫歯が見えるようになることもあります。
・歯を動かすことにより歯根が吸収され、短くなることがあります。また歯肉が痩せて下がることがあります。
・ごくまれに、歯が骨と癒着していて歯が動かないことがあります。
・ごくまれに、歯を動かすことで神経に障害を与え、神経が壊死することがあります。
・治療中に、「顎関節で音が鳴る、顎が痛い、口をあけにくい」などの顎関節症状が出ることがあります。
・問題が生じた場合、当初の治療計画を変更することがあります。
・歯の形状や修正や、嚙み合わせの微調整を行うことがあります。
・矯正装置を誤飲する可能性があります。
・装置を外すときに、エナメル質に微小な亀裂が入る可能性や、補綴物(被せ物など)の一部が破損することがあります。
・装置を外した後、保定装置を指示通りに使用しないと後戻りが生じる可能性が高くなります。
・装置を外した後、現在の嚙み合わせに合わせて補綴物(被せ物など)の作製や虫歯治療をやり直す可能性があります。
・治療後に親知らずが生えて、歯列に凹凸が生じる可能性があります。
・加齢や歯周病などにより歯を支える骨が痩せると、歯並びや嚙み合わせが変化することがあります。その場合、再治療が必要にあることがあります。
・矯正治療は、一度始めると元の状態に戻すことが難しくなります。
・正しい装着方法で1日20時間以上使用しないと、目標とする治療結果を得られないことがあるため、きちんとした自己管理が必要になります。
・マウスピースはご自身で取り外せるため、紛失することがあります。
・お口の中の状態によっては、マウスピース型矯正装置で治療できないことがあります。
・お口の中の状態によっては、治療計画通りの結果が得られないことがあります。
・装着したまま糖分の入った飲料をとると、虫歯を発症しやすくなります。
・治療によって、まれに歯根吸収や歯肉退縮が起こることがあります。
・お口の状態によっては、マウスピース型矯正装置に加え、補助矯正装置が必要になることがあります。
・治療完了後は後戻りを防ぐため、保定装置の装着が必要になります。
・薬機法(医薬品医療機器等法)においてまだ承認されていない医療機器です。日本では完成物薬機法対象外の装置であり、医薬品副作用被害救済措置の対象外となることがあります。
当院でご提供している「インビザライン」は薬機法(医薬品医療機器等法)においてまだ承認されていない医療機器となりますが、当院ではその有効性を認め、導入しております。
〇未承認医療機器に該当薬機法上の承認を得ていません(独立行政法人医薬品医療機器総合機構ウェブサイトにて2022年8月22日最終確認)。
〇入手経路等インビザライン・ジャパン株式会社より入手しています。
〇国内の承認医療機器等の有無国内では、インビザラインと同様の性能を有した承認医療機器は存在しない可能性があります(独立行政法人医薬品医療機器総合機構ウェブサイトにて2022年8月22日最終確認)。
〇諸外国における安全性等にかかわる情報
現在世界100カ国以上で提供され、これまでに1200万人を超える患者様が治療を受けられています(2022年2月時点)。情報が不足しているため、ここではインビザラインの諸外国における安全性等にかかわる情報は明示できません。今後重大なリスク・副作用が報告される可能性があります。
なお、完成物薬機法対象外の矯正装置であり、医薬品副作用被害救済制度の対象外となる場合があります。
※当該未承認医薬品・医療機器を用いた治療の広告に対する注意事項の情報の正確性について、本ウェブサイトの関係者は一切責任を負いません。
当院の6つの特長 6 FEATURES
「おもてなし」と「エイジングケア」をテーマとしたトータルオーラルケア
従来の歯科医院のイメージとは違い、「おもてなし」の気持ちで患者さまをお迎えしています。お口全体の健康や美容をトータルで考え、いつまでも快適で美しく過ごせるようにエイジングケアを目指した治療を展開しています。
充実した最新設備の導入
安全かつ精密な治療を追求するためには、技術を磨くとともに最新の装置を使用することも不可欠です。
お口の中を詳しく調べられる歯科用CTをはじめ、患部を肉眼の数十倍の倍率で拡大して診られるマイクロスコープ、歯型を正確かつ短時間で取り込める口腔内スキャナーiTero5Dなど、さまざまな新しい設備を導入しています。
初診の方へ FIRST
友枝歯科・矯正歯科クリニック福岡天神では患者さまに「おもてなし」の気持ちをもって接しています。
従来の歯科医院とは違った爽やかな院内で、リラックスしてお過ごしいただけます。
歯の痛みや歯並びなどのお悩みだけでなく、口元の美容に関するご相談もお受けします。
矯正、ホワイトニングは無料のカウンセリングも実施していますので、どうぞお気軽にお越しください。
診療案内 TREATMENT
予防歯科
歯の健康をお守りするために行なうケアです。「プロフィラキシス」とよばれるアメリカ式の予防システムを採用し、虫歯や歯周病にかからないためのケアを集中的に行なっています。
定期的に予防歯科を受けていただくと、虫歯にかからない健康的な歯を維持できます。
ホワイトニング
クリーニングでは磨き落とせない歯の着色を、薬剤を使って漂白します。
使用する薬剤にもこだわり、漂白効果に優れているとともに患者さまが痛みなどを感じにくいものを採用しています。ムラなくきれいに仕上げ、輝くような白い歯をご提供します。
審美歯科
歯の痛みを治したり噛む機能を取り戻したりするだけでなく、見た目の美しさを回復することも大切な治療だと考えています。
セラミックという透明感のある白い素材を使った補綴物を作り、治療した痕をきれいに仕上げます。銀歯にお悩みの方にもおすすめです。
矯正歯科
悪い歯並びは見た目が気になるだけでなく、噛み合わせも悪くなって全身の健康にも影響を及ぼします。
透明なマウスピース装置もご用意しており、治療中の口元も気になりません。インビザラインプラチナドクターの医師が治療を担当し、美しく健康的な歯並びに改善します。
インプラント・再生医療
歯が抜けてしまった場合の治療方法のひとつがインプラントです。人工の歯根で固定するのでしっかり噛めるうえ、見た目も自然に仕上がります。
当院では骨の移植も含めた難症例や再生医療にも対応します。ほかの歯科医院では治療できないと言われた方も、ご相談にいらっしゃってください。
マイクロスコープによる
精密歯科診療
患部を数十倍の拡大視野でチェックできる、マイクロスコープを導入しています。より正確な治療が可能になり、歯を削る範囲を最小限で抑えられるなどのさまざまなメリットがあります。
虫歯により神経を抜く場合にもマイクロスコープを使用し、再発しないよう歯の内部をきれいにします。
一般歯科
歯の痛みや歯肉の出血といった症状を抑える、虫歯や歯周病の治療になります。なるべく健康な組織を傷つけず、なおかつ再発を防ぐために、最新の設備を使い治療しています。
また、治療に不安がある方には、リラックスして治療を受けられる静脈内鎮静法を検討します。
美容点滴・医療用サプリメント
虫歯や歯周病、矯正歯科といった治療以外にも、親知らずの抜歯といった口腔外科にも対応しています。
さらに、口臭外来やサプリメントを使った栄養指導、ビタミン不足を補う点滴療法など、患者さまの健康をトータルでサポートするためのさまざまな治療を導入しています。
咬筋ボツリヌス治療、ヒアルロン酸注入
⻭ぎしり、⾷いしばりが強かった為、咬筋に咬筋ボツリヌス注射を注⼊。
咬筋の緊張が取れ、症状が緩和します。⾷いしばりによる肩こり、頭痛なども改善します。
ヒアルロン酸注入では、⻭の治療とともに、⼝元、お顔のバランスを考えながらヒアルロン酸注射を⾏い、シワの溝や凹んでいる部位を改善します。
ヒアルロン酸注入
芸能人・モデル歯科
口元のコンプレックスは、すべて当院の審美歯科にご相談ください。福岡の芸能人・モデルが多く通う当院では、一般の方でもお一人おひとり合わせた治療方法で、芸能人のような綺麗な歯並びや輝く白さを実現できます。
芸能人・モデル歯科ごあいさつ GREETING
ご挨拶
皆さま初めまして。数ある歯科クリニックのなかから、私たちのHPをご覧いただいているご縁に感謝いたします。
私は歯科医師の家系の3代目に生まれ、人のお役に立てる仕事であると考え、父や祖父と同じ福岡県立九州歯科大学を卒業いたしました。
勤務医として働くなかで、多くの方が歯医者さんを苦手とし、通えていないことを実感いたしました。また健康長寿と美を叶えるエイジングケア医学に出会い、追求し、皆さまにお伝えすることに決めました。そこで一念発起し“おもてなし”と“エイジングケア”を理念とし、患者さまはもちろん、社会にも貢献するべく新しいクリニックを開業いたしました。
その10周年の節目に、私たちの想いの集大成である3院目を開院いたします。
私たちは、私たちが受けたい、理想的な医療を提供する─。そのために最新の医療を学び、研鑽を続ける─。
一生健康で美しく過ごしたい方、ぜひ一度ご相談ください。スタッフ一同お待ちしております。
診療カレンダー CALENDAR
| SUN | MON | TUE | WED | THU | FRI | SAT |
|---|---|---|---|---|---|---|
| 1 | 2 | 3 | 4 | 5 | 6 | 7 |
| 8 | 9 | 10 | 11 | 12 | 13 | 14 |
| 15 | 16 | 17 | 18 | 19 | 20 | 21 |
| 22 | 23 | 24 | 25 | 26 | 27 | 28 |
| 29 | 30 | 31 |
| SUN | MON | TUE | WED | THU | FRI | SAT |
|---|---|---|---|---|---|---|
| 1 | 2 | 3 | 4 | |||
| 5 | 6 | 7 | 8 | 9 | 10 | 11 |
| 12 | 13 | 14 | 15 | 16 | 17 | 18 |
| 19 | 20 | 21 | 22 | 23 | 24 | 25 |
| 26 | 27 | 28 | 29 | 30 |