目次(クリックで各項目へ移動できます)
オールオン4(All-on-4)はこのような方に向いています
- できるだけ早く、見た目と噛む機能の回復を目指したい
- 口元の印象を整え、自信を取り戻したい
- 食事を家族や周囲の方と一緒に楽しみたい
- 歯周病が進行し、歯のぐらつきが強い
- 歯がほとんど残っていない、または残存歯が少ない
一般的なインプラント治療とオールオン4(All-on-4)の違い
一般的なインプラント治療では、失った歯の本数に応じてインプラントを埋入するため、すべての歯を失っているケースでは多数の埋入が必要となる場合があります。治療の進め方によっては、手術当日に仮歯まで装着することが難しく、一定期間見た目や噛むことに不便を感じることもあります。
一方、オールオン4(All-on-4)は、上下顎それぞれ少ない本数のインプラントで全顎の歯を支える治療法です。症例によっては、手術当日に仮歯を装着できることが可能で、比較的早い段階で見た目や噛み合わせの回復を目指します。
※顎の骨の量や全身疾患の状態により、当日の装着が適さない場合があります。
歯を補う主な治療方法の比較(目安)
| オールオン4 | インプラント | 総入れ歯 | |
|---|---|---|---|
|
|
|
|
| 租借(かむ)力 | 天然歯に近い噛み心地を目指せる | 天然歯に近い噛み心地を目指せる | 装置の動き等により個人差がある |
| ケア方法 | 日々のセルフケア+歯科医院での定期的なメンテナンスが必要 | 日々のセルフケア+歯科医院での定期的なメンテナンスが必要 | 毎日の取り外し清掃+定期的な調整が必要 |
| 違和感 | 装置が小さく比較的違和感が少ない | 比較的違和感が少ない | 歯ぐきを覆う範囲が広く違和感が出やすい |
| 治療期間 | 仮歯を最短当日で装着が可能(状態により差がある) | 当日に仮歯の装着が難しい場合がある | 比較的短期間で作製できることが多い |
| 費用 | 埋入本数を抑えて全顎を支える設計(費用は設計・本数で変動) | 本数に比例して総額が大きくなる傾向 | 比較的費用を抑えやすい一方、調整が必要になることがある |
※上記は一般的な特徴の目安であり、状態・設計により異なります。
友枝式オールオン4(All-on-4)について
1.治療の考え方
オールオン4は、1本単位のインプラントとは異なり、治療計画の立案や設計、手術・補綴までの連携が重要になります。当法人では総院長の監修のもと、症例ごとに検査結果を踏まえて治療方針を検討し、適したオーダーメイドの計画をご提案しています。
2.日本口腔インプラント学会 専門医 取得
2026年2月、当法人 総院長 友枝 亮が、
日本口腔インプラント学会(JOMI)専門医に正式認定されました。
日本には約10万人の歯科医師が存在しますが、同学会の専門医は約1,400名程度とされており、学術・臨床の両面において厳格な基準を満たした歯科医師のみが取得できる資格です。
さらに友枝は、国際的なインプラント学術団体である
ICOI(International Congress of Oral Implantologists)よりFellow(認定医)の資格も取得しております。
国内外のエビデンスに基づいた診断力、精度の高い治療計画、そして安全性を最優先とした外科手技。
これらを統合し、長期的な安定を見据えたインプラント治療を実践しております。
当院では、すべてのインプラント治療を友枝 亮が責任監修。
専門医としての知見と国際基準の技術をもとに、安心して任せていただける医療体制を整えております。
総院長 友枝亮の略歴について >
ICOI(International Congress of Oral Implantologists)は、1972年に設立された世界最大級のインプラント学会で、本部をアメリカ・ニュージャージー州に置き、現在65か国以上・25,000名超の会員が所属しています。
インプラント治療の教育・研究・臨床の発展を牽引し、国際的に最も信頼される学会の一つです。
Fellow(フェロー)の称号は、国際基準を満たす高度な臨床技術と知識を有し、症例提出・厳正な審査と試験を経て認められた歯科医師にのみ授与されるものです。
3.インプラント専属顧問(細川隆司 名誉教授)によるバックアップ
当法人では、インプラント分野に関する知見を深めるため、九州歯科大学名誉教授・細川隆司先生に顧問としてご協力をいただいています。
臨床・研究・教育の経験に基づく視点を、院内体制づくりや治療方針の向上に努めています。
当院顧問:九州歯科大学名誉教授 細川隆司
| 1990年 九州歯科大学大学院 修了・歯学博士取得 |
| 1990年 ハーバード大学 歯学部 研究員・ボストン小児病院 整形外科 研究員 |
| 1991年 九州歯科大学 歯学部 助手(歯科補綴学第二講座) |
| 1995年 広島大学 歯学部 助手(歯科補綴学第一講座) |
| 1999年 広島大学 歯学部附属病院 講師 |
| 2003年 九州歯科大学 教授(歯科補綴学第二講座) |
| 2004年 九州歯科大学 教授 (口腔再建リハビリテーション学分野)・口腔インプラント科 科長 |
| 2019年 九州歯科大学附属病院 副病院長 |
| 2020年 九州歯科大学 副学長 |
| 2022年 日本口腔インプラント学会 理事長 |
| 2024年 九州歯科大学 名誉教授 |
日本口腔インプラント学会(JOMI)について
日本口腔インプラント学会(JOMI)は、2024年8月時点で会員数16,000名を超える、日本国内で最大規模、かつ世界的にも有数のインプラント関連学会です。
インプラント治療の発展と普及を目的とし、歯科医師同士が知識・技術を共有しながら研鑽を積むことで、患者さまにより良い治療を提供することを目指しています。
当院顧問:九州歯科大学名誉教授 細川隆司
| 1990年 九州歯科大学大学院 修了・歯学博士取得 |
| 1990年 ハーバード大学 歯学部 研究員・ボストン小児病院 整形外科 研究員 |
| 1991年 九州歯科大学 歯学部 助手(歯科補綴学第二講座) |
| 1995年 広島大学 歯学部 助手(歯科補綴学第一講座) |
| 1999年 広島大学 歯学部附属病院 講師 |
| 2003年 九州歯科大学 教授(歯科補綴学第二講座) |
| 2004年 九州歯科大学 教授 (口腔再建リハビリテーション学分野)・口腔インプラント科 科長 |
| 2019年 九州歯科大学附属病院 副病院長 |
| 2020年 九州歯科大学 副学長 |
| 2022年 日本口腔インプラント学会 理事長 |
| 2024年 九州歯科大学 名誉教授 |
(日本口腔インプラント学会とは、2024年8月時点で1万6,000人を超えており世界でも有数のインプラント関連学会の中ではダントツです。インプラント治療の発展・普及を目的としています。歯科医師が得た情報を共有し、研鑽を積むことで、患者によりよい治療を提供することを目指しております。)
4.PRGF(再生医療:自費診療)
PRGFは、採血した血液から成分を分離・加工し、治癒の過程をサポートする目的で用いられる治療法です。術後の腫れや痛みの軽減が期待される場合があり、症例に応じて提案しています。
インプラント埋入時にPRGFを併用することで、インプラント周囲に新しい骨(紫色)が安定して形成されている様子が確認できます。
左:PRGFを使用していない場合 / 右:PRGFを併用した場合
PRGFを使用することで、組織の回復が促され、治癒までの期間短縮が期待されます。
さらに、手術後に起こりやすい腫れや痛みの軽減にもつながります。
再生医療PRGFの費用
60,500円(税込)
治療に伴う主なリスク・副作用
採血時の影響として、まれに腕に内出血が生じたり、一時的に手指にしびれを感じる場合があります。
ただし、採血方法は一般的な医療行為と同様であり、多くの場合、症状は軽度かつ一過性です。
また、本療法実施後に創部に炎症反応がみられることがありますが、これは通常の外科処置でも起こり得るものであり、PRGF特有の副作用ではありません。
5.デジタルインプラント/ガイド手術(ワンガイド等)
CTや口腔内スキャンなどのデータを活用し、手術計画の精度を高めるためのデジタル技術を取り入れています。症例によってはサージカルガイド(ワンガイド等)を用い、侵襲を抑えた手術を目指します。
※症例によりガイドを使用しない場合があります。
必要以上の切開を行わないため、痛みや腫れが少なく、治療の時間も短縮できるため、患者様の負担を抑えることができます。
※症例によりワンガイドを使用しない場合もあります。
静脈内鎮静法
点滴から鎮静薬を投与し、緊張や不安を和らげた状態で治療を受ける方法です。全身麻酔とは異なり、声かけに反応できる程度の鎮静となります。
当院では必要に応じて、歯科麻酔に関する専門医と連携して実施しています。
- 歯科恐怖症の方
- ストレスなく治療を終えたい方
- 嘔吐反射の強い方
- 長時間の治療が必要な方

使用するインプラント
(例:NEODENT)
当院では、症例や治療計画に応じてインプラントメーカーを選定しています。NEODENTはストローマングループのブランドの一つで、長期的なデータや流通実績がある製品です(適応は症例により異なります)。

オールオン4の治療の流れ
横スクロールでご覧いただけます。
-
①無料カウンセリング
(電話/WEB)お電話、またはWEB予約フォームよりお問い合わせください。当院では、患者様が抱えられている不安やご希望をじっくりとお伺いする時間を大切にしています。まずは現状のお困りごとを安心してお話しください。
-
②検査・診断・治療計画の立案
オールオン4において、精密な診査・診断・治療計画は仕上がりを左右する重要なプロセスです。CT撮影や口腔内スキャンを行い、顎の骨の状態や神経の位置を正確に把握します。そのデータをもとに、治療方針をすり合わせ患者様お一人おひとりの骨格に合わせたオーダーメイドの治療を慎重に進めていきます。
-
③必要に応じた術前治療
(歯周病治療・咬合調整など)検査の結果、重度の歯周病がある場合や噛み合わせのバランスが著しく崩れている場合は、先に必要な処置を行います。オールオン4治療後にかみ合わせ機能を持続させるため、土台となるお口の環境を整えることが欠かせません。この準備期間が、術後の安定した機能維持につながります。
-
④手術および仮歯の装着
(即日対応を目指します)事前のシミュレーションに基づき、患者様としっかり信頼関係を築いたうえでドクターが責任をもって手術を行います。局所麻酔に加え、必要に応じて静脈内鎮静法を併用し、心身の負担や違和感を抑えられるよう配慮しております。症例によりますが、手術当日に仮歯を固定できるため、その日のうちに咀嚼と審美面の回復を目指します。
-
⑤最終補綴物の作製
インプラント体と顎の骨がしっかりと結合したことを確認した後、最終的な被せ物(補綴物)の作製に入ります。仮歯の使用感も踏まえ、色味、形、噛み合わせを微調整することで、天然歯のような美しさと快適な食生活を形にします。
-
⑥メンテナンス
(定期管理)インプラントは埋入して終わりではありません。インプラント周囲炎などのトラブルを防ぎ、良好な状態を維持するためには、定期的なプロケアが不可欠です。当院では、専任のスタッフがお口全体の健康維持を継続的にサポートいたします。
保証・メンテナンスについて
GUIDEDENT AWARD 2025
PREMIUM受賞
この度、第三者保証機関「ガイドデント」
15周年表彰において、
全国3,000件以上の認証医院の中から
「PREMIUM医院(Best50)」に選出さ
れました。
本表彰は、治療実績や再治療率などのデータをもとに評価されるもので、当法人が運営する博多駅前院・平尾院・福岡天神院の3院における過去6年間の治療実績が評価されたものです。
対象となった治療本数は、インプラント・審美セラミック治療あわせて1,530本。
そのうち再治療は16本で、再治療率は1.0%という結果でした。
この結果は、各院の歯科医師・歯科衛生士・スタッフが「美しさ・機能性・長期的な安定」を大切にし、日々の診療に取り組んできた積み重ねによるものと考えております。
また、当院を信頼し通院してくださる患者様のご理解とご協力の賜物でもあります。
今回の表彰に伴い、PREMIUM認定トロフィーを拝受し、ガイドデント公式サイトでの医院紹介も掲載されています。
今後も、データに基づいた丁寧な治療を心がけ、皆様に安心して通っていただける歯科医療を提供してまいります。
・年2回以上の定期メンテナンスを受けていただく必要があります。
・埋入本数や補綴設計により費用は変動します。
料金表・お支払い方法
友枝式オールオンX 価格
| オールオンX (保証なし) |
オールオンX (保証あり) |
|
|---|---|---|
| CT診断・説明 | ¥22,000 (税込み¥24,200) |
¥22,000 (税込み¥24,200) |
| 片顎オールオンX +PRGF +静脈内鎮静 |
¥3,200,000 (税込み¥3,520,000) |
¥3,200,000 (税込み¥3,520,000) |
| 10年保証 | ¥0 | ¥140,000 (税込み¥154,000) ~¥390,000 (税込み¥429,000) |
| インプラント サポート3個 栄養指導付 |
¥27,000 (税込 ¥29,700) |
¥27,000 (税込 ¥29,700) |
| 合計 | ¥3,249,000 (¥3,573,900) |
¥3,389,000 (¥3,727,900) 〜¥3,639,000 (¥4,002,900) |
※CT撮影診断はインプラントの本数に関係なく一律
※①片顎のメンテナンス費用として 10,000円 + 消費税がかかります。
※②片顎のインプラントを外してクリーニング、再度セットする場合は、
費用として30,000円+消費税かかります。
両顎の場合は片顎の費用の2倍かかります。
※2025/10現在 ご料金は予告なく変更する場合がございます。
お支払い方法
| 現金 |
|---|
| 15万円以上でお振込み |
| クレジットカード |
| 分割払い可能 |
| デンタルローン |
|
クレジットカードよりも利子が低く、分割最大120回まで可能。 スマホで簡単に手続きが行えます。 上限500万円まで |
自費診療であっても、医療費控除の対象となる場合があります。
医療費控除を利用することで、以下のような対応が可能です。
●確定申告を行うことで、税金の還付を受けられる場合があります
●通院に要した公共交通機関の交通費も対象に含まれます
●ご家族分を合算し、年間の医療費が10万円を超えた場合に申請可能です
※領収書は再発行できませんので、必ず大切に保管してください。
医療費控除額のシュミレーション
| 世帯年収 | 医療費控除 発生最低額 |
1年間で支払った医療費の合計 | ||||
|---|---|---|---|---|---|---|
| 20万 | 30万 | 50万 | 70万 | 100万 | ||
| 軽減される税額 | ||||||
| 300万円 | ¥96,000 | ¥15,000 | ¥30,000 | ¥60,000 | ¥90,000 | ¥106,000 |
| 500万円 | ¥100,000 | ¥20,000 | ¥40,000 | ¥80,000 | ¥120,000 | ¥180,000 |
| 700万円 | ¥100,000 | ¥30,000 | ¥60,000 | ¥120,000 | ¥180,000 | ¥270,000 |
| 1,000万円 | ¥100,000 | ¥30,000 | ¥66,000 | ¥132,000 | ¥198,000 | ¥297,000 |
※横スクロール
そもそも、医療費控除とは?
治療費が一定額を超えると、所得に応じて国から補助を受けることができます。詳しくは国税庁HPをご覧ください。
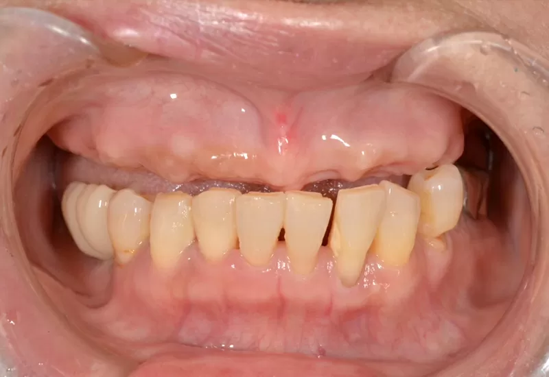
オールオン4の症例紹介
case1
術前
術後
| 主訴 | 噛めない・見た目の改善希望 (上顎は重度歯周病で保存不可) |
| 治療期間 | 即日:抜歯+インプラント4本+仮歯装着 治癒期間:3〜4ヶ月 最終補綴:4〜6ヶ月 |
| 治療費 | 片顎のみ:¥3,630,000 上下両顎の場合:¥7,260,000 |
| 治療内容 | 上顎の抜歯 インプラント4本埋入 ガイド使用 即日プロビジョナル 治癒後フルジルコニアブリッジ |
| 抜歯の有無 | 上顎:あり 下顎:なし |
| 治療のリスク | インプラントが結合しない可能性 咬合調整が必要な場合 インプラント周囲炎のリスク |