ハイブリット矯正 症例
Before

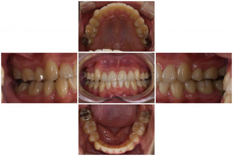
After

【治療内容】 ワイヤー矯正×マウスピース矯正
【症状】 前歯部のガタつき かみ合わせが悪い
【治療期間】 2年
【治療リスク】 左右対称にならない場合がある。
希望通り歯が動かない場合がある。
ブラックトライアングルができる可能性がある。
嘔吐反射が強い場合、マウスピース矯正が できない場合がある。
重度歯周病の方は、歯の揺れがひどくなる場合がある。
歯肉が退縮する場合がある。
ハイブリット矯正 症例 当院ブログの記事詳細で、読みたい記事をチェック
Before

After

【治療内容】 ワイヤー矯正×マウスピース矯正
【症状】 前歯部のガタつき かみ合わせが悪い
【治療期間】 2年
【治療リスク】 左右対称にならない場合がある。
希望通り歯が動かない場合がある。
ブラックトライアングルができる可能性がある。
嘔吐反射が強い場合、マウスピース矯正が できない場合がある。
重度歯周病の方は、歯の揺れがひどくなる場合がある。
歯肉が退縮する場合がある。