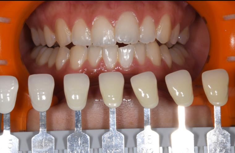
ホワイトニング 症例 2026.03.10 ホワイトニング Before After 20代 女性【主訴】全体的な黄ばみ ホワイトニング初めて【治療内容】オフィスホワイトニング5回コースシェードは15から5までのトーンアップしています。 ご興味のある方は無料のカウンセリングもございますのでお気軽にお問い合わせください!ご予約はこちら 新しい記事 過去の記事 最新記事 GW期間中の休診日のお知らせ キャンペーンのお知らせ★6月末まで 大人の矯正で気をつけるべき歯周病リスクとは? 安全に治療を進めるために大切なこと 気軽に買える健康習慣!筋肉食堂はじめました! セラミック・ジルコニアってよく聞くけどどんな素材? カテゴリー 矯正症例(17) インビザライン(マウスピース矯正)・ワイヤー矯正(18) 歯科治療(5) ホワイトニング(8) キャンペーン(7) お知らせ(17) インプラント(9) 幹細胞再生医療(4) 無痛治療(4) 点滴・アンチエイジング(5) 栄養(2) 月別アーカイブ 選択してください 2026年04月 (5) 2026年03月 (5) 2026年02月 (3) 2026年01月 (5) 2025年12月 (3) 2025年11月 (3) 2025年10月 (5) 2025年09月 (5) 2025年08月 (18) 2025年07月 (3) 2025年06月 (2) 2025年05月 (4) 2025年04月 (1) 2025年03月 (2) 2025年02月 (4) 2024年12月 (1) 2024年08月 (1) 2024年07月 (2) 2024年06月 (2) 2024年04月 (1) 2024年03月 (2) 2024年02月 (1) 2024年01月 (2) 2023年12月 (3) 2023年11月 (3) 2023年10月 (2) 2023年09月 (5) 2023年08月 (2) 2023年07月 (1)